APP下载

微信公众号

CCMTV APP

登录后可享受
同步多端记录
个性推荐视频
登录
【神经系统感染】急性坏死性脑病18例临床特征与预后
CCMTV神经病学频道 3506次浏览
2025-12-03
点击标题下「蓝色微信名」可快速关注


文章来源:中华神经科杂志, 2025, 58(05): 494-500.

作者:耿畅 宫利 张炜华 杨笑 赵伟丽 王勤周 蒋东晓 武进 任海涛 范思远 关鸿志 彭斌



摘要


目的

分析中国急性坏死性脑病(ANE)患者的临床特征、RAN结合蛋白2(RANBP2)基因变异情况与预后。


方法

回顾性收集2022—2024年北京协和医院等医院向北京协和医院脑炎登记系统登记入组的明确诊断的ANE患者。采用调整的ANE诊断标准,对其临床特点、治疗转归信息、脑脊液及影像学结果进行总结。应用全外显子测序技术检测基因突变。


结果

共纳入18例ANE患者,年龄2~72[20(5,43)]岁,男女比例为4∶5。全部患者均有前驱呼吸道感染史,包括新型冠状病毒、甲型流感病毒及肺炎支原体感染。所有患者临床症状均存在发热,其中16例患者存在不同程度的意识障碍,10例患者出现癫痫发作。所有患者均接受腰椎穿刺检查,脑脊液白细胞均正常或轻度升高[3(2,13)×106/L],蛋白含量以轻中度升高为主[1.90(0.92,4.65)g/L],其中6例行脑脊液IL-6检测,结果均明显升高[950(164,2 000)pg/ml]。双侧对称的丘脑病灶为ANE的典型影像学特征,其他如幕上皮质及皮质下白质、脑干、小脑等均可受累。14例患者进行了基因检测,其中4例检出RANBP2基因突变(3例为c.1754C>T,1例为c.1966A>G)。所有患者均接受免疫治疗,出院时7例死亡,其余患者均遗留不同程度后遗症。


结论

ANE是一种罕见且凶险的副感染性脑病,儿童及成人患者均可见,临床上以感染后快速进展的脑病和双侧丘脑对称性病灶为主要特点,RANBP2基因检测有助于ANE的诊断。


急性坏死性脑病(acute necrotizing encephalopathy,ANE)是一种罕见且病情凶险的副感染性脑病,其发病机制可能与病毒感染后继发机体剧烈的细胞因子风暴相关。1995年Mizuguchi等[1]首次报道了ANE相关病例,随后总结了ANE的临床特点和诊断标准:本病多见于儿童,常继发于病毒感染(包括甲型流感病毒、乙型流感病毒、柯萨奇病毒等),患者临床均表现为快速进展的脑病,短期病死率超过30%。此后,研究者发现部分复发性或家族性ANE病例可检出RAN结合蛋白2(RAN-binding protein 2,RANBP2)基因致病突变,即1型ANE[2]。新型冠状病毒感染(COVID-19)流行期间,包括我国在内的全世界已有多例继发于COVID-19的ANE病例报道,同时包括多例成人ANE病例报道[3, 4, 5]。目前国内尚无以成人病例为主的较大样本ANE队列研究。我们总结了近2年由北京协和医院联合多家医院神经科诊断的共18例ANE患者的临床、脑脊液及影像学、基因变异特点,以提高临床医师对ANE的认识,进而提高ANE诊疗水平、改善患者预后。

资料和方法

一、临床资料

本研究为病例系列研究。病例来源为2022—2024年包括北京协和医院、烟台毓璜顶医院、北京儿童医院、宁夏医科大学总医院、赤峰学院附属医院、山东大学齐鲁医院、青岛大学附属威海市中心医院、鄂尔多斯市中心医院向北京协和医院脑炎登记系统登记入组的明确诊断的ANE患者。收集患者的临床资料,包括发病年龄、家族史、前驱病毒感染、临床症状、脑脊液检查、头颅磁共振成像(magnetic resonance imaging,MRI)、治疗与转归资料。

本研究采取的诊断标准,是在Mizuguchi等[6]在1997年总结的ANE诊断标准基础上修正部分条目、进行调整更新后的ANE诊断标准(表1)。

图片

二、基因检测

所有患者均在签署知情同意书后,留取外周血3~5 ml,常规提取DNA(Hipure Tissue & Blood DNA试剂盒,美基公司,中国)后制备DNA文库,基于Illumina nova6000测序平台(Illumina Inc,美国)进行全外显子二代测序(由未一医学检验实验室检测)。针对存在RANBP2基因突变患者使用Sanger测序进一步验证,同时对可获得的家系成员进行家系验证。

三、统计学方法

采用SPSS 25.0统计学软件进行数据分析。不符合正态分布的计量资料以中位数(四分位数)表示,计数资料以频数表示。

结果
一、临床资料(表2)
图片

本研究共纳入18例诊断明确的ANE病例进行分析,其中男性8例,女性10例。本组患者的年龄为2~72 [20(5,43)]岁,16岁以上患者12例。10例患者继发于COVID-19,7例继发于甲型流感病毒感染,1例继发于肺炎支原体感染。所有患者临床症状均存在发热,热峰37.8~40.0 ℃,自发热至出现神经系统症状的时间间隔为2(1,2)d。16例患者存在不同程度的意识障碍(包括反应迟钝、定向力降低、昏迷等),10例患者出现癫痫发作,其中包含6例强直-阵挛发作。

对所有患者均启动了免疫治疗,16例患者接受了大剂量糖皮质激素(含激素冲击),15例患者接受了静脉注射免疫球蛋白(intravenous immunoglobulin,IVIG)治疗,另有2例患者接受了血浆置换,3例患者使用了托珠单抗治疗。除1例患者未收集到预后情况之外,其余17例患者至出院时共死亡7例(包含放弃治疗患者)。在3例接受托珠单抗治疗的患者中,2例好转,1例死亡(该患者因合并较重肺部感染未加用糖皮质激素治疗)。

二、脑脊液检查结果

18例患者均在知情同意下接受了腰椎穿刺检查。所有患者的脑脊液白细胞均正常或轻度升高[3(2,13)×106/L],脑脊液蛋白含量以轻中度升高为主[1.90(0.92,4.65)g/L]。6例患者行脑脊液IL-6检测,结果均明显升高[950(164,2 000)pg/ml]。同时,10例患者进行了血清IL-6水平检测,结果为正常或轻度升高[16(3,114)pg/ml]。所有患者的血及脑脊液自身免疫性脑炎相关抗体及脑脊液病原学筛查结果均为阴性。

三、影像学检查结果

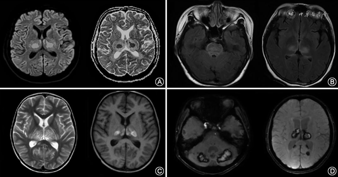
本组18例患者中共有17例接受了头颅MRI检查,其中9例报告了头颅MRI检查的时间,具体为起病2~21[4(2,21)]d。头颅MRI均可见双侧丘脑对称性高T2、高FLAIR信号并伴明显肿胀。病灶在T1序列多表现为等/低信号,部分混杂高信号;在弥散加权成像序列多表现为细胞毒性水肿(DWI高信号、表观弥散系数低信号),部分病灶周围可伴血管源性水肿(DWI低信号、表观弥散系数高信号)。同时,部分病灶在磁敏感加权成像序列为低信号,提示存在含铁血黄素沉积。部分患者经免疫治疗后症状好转,复查头颅MRI病灶亦较前吸收、缩小。1例患者未行头颅MRI检查,其头颅CT检查可见双侧丘脑对称低密度病灶。在病灶部位分布方面,除丘脑部位全部患者均受累(18/18)之外,ANE患者以皮质(8/18)、脑干(7/18)、皮质下白质(6/18)、小脑(6/18)、基底节区(4/18)受累较为多见。ANE患者典型影像学表现结果详见图1。

图片

图1  不同急性坏死性脑病患者的头颅磁共振成像(MRI)结果。A:弥散加权成像(DWI)示双侧丘脑病灶核心呈高DWI、低表观弥散系数(ADC)信号,外周呈低DWI、高ADC信号;B:液体衰减反转恢复(FLAIR)序列示脑桥及双侧丘脑病灶呈高FLAIR信号;C:双侧丘脑病灶呈长T2、混杂T1信号影;D:磁敏感加权成像序列示双侧小脑、丘脑、枕叶皮质下病灶存在含铁血黄素沉积

Figure 1  The magnetic resonance imaging results of different acute necrotizing encephalopathy patients

四、RANBP2基因检测结果

本组患者中共有14例接受基因检测,其中4例患者检出RANBP2基因突变:3例为c.1754C>T,其中2例存在急性脑病家族史;1例为c.1966A>G(表3)。未检出位于RANBP2基因的其他致病突变。

图片
讨论
我们通过对18例ANE患者的临床特征分析和基因检测结果的研究,得出以下主要结论:(1)ANE病例中成人患者并不少见,多数患者以快速进展的意识障碍、癫痫发作为首发表现;(2)双侧丘脑病灶为ANE的典型影像学特征,其他包括幕上灰质及白质区域、脑干、小脑均可受累;(3)ANE具有高致死率、高致残率,早期积极的免疫治疗可能改善患者预后;(4)RANBP2基因检测有助于ANE的诊断。

ANE的诊断标准最早由Mizuguchi等[6]根据儿童甲型流感相关ANE队列研究于1997年提出,但该诊断标准对COVID-19相关ANE的适用性有待探讨。我们根据临床实践与文献复习结果,认为1997年标准尚有待补充完善:后续研究结果表明,多例ANE患者存在脑脊液白细胞升高,部分患者血氨轻度升高[7, 8];同时,脑脊液IL-6水平升高代表了中枢神经系统的细胞因子风暴,支持ANE的诊断[3];此外,RANBP2基因突变也有重要诊断意义和可观的检出率。因此我们提出了调整后的ANE诊断标准(表1),并采用该诊断标准进行了本研究。本研究纳入的ANE患者男女比例接近1∶1,发病年龄范围为2~72岁,这与此前多数病例报道ANE发生于儿童并不完全一致[9]。经检索文献,2019年前全世界仅有23例年龄超过16岁的ANE病例报道[10, 11],而本研究所包含的16岁以上ANE患者即占12/18。这一结果对成人神经科医师具有提示意义:在COVID-19及甲型流感病毒感染流行期间,继发于病毒感染的成人ANE病例并不少见。

继发于不同病毒感染的ANE的临床特点具有较高一致性[3,6,12, 13, 14],多数患者表现为快速进展的意识障碍、癫痫发作及其他神经系统缺损症状。双侧对称的丘脑病灶为ANE的典型影像学特征,具有较高的诊断意义。ANE病灶分布的其他区域包括幕上皮质及皮质下白质、脑干、小脑等,部分病灶具有出血表现,脑干病灶为不良预后的预测因素之一[15]。脑脊液检验结果方面,本组ANE患者脑脊液蛋白均存在不同程度升高,白细胞多数正常或轻度升高,与既往文献报道基本一致[9,16]

目前ANE的发病机制仍不明确,多数研究认为ANE与包括中枢神经系统在内的全身细胞因子风暴密切相关[17, 18],细胞因子风暴可能进一步造成血脑屏障破坏、血管通透性增加、脑水肿等不良反应[18, 19]。IL-6是细胞因子风暴的重要组成成分,同时是ANE患者血清及脑脊液中主要升高的细胞因子之一[18,20],其主要功能包括调节急性期炎性反应、调控免疫细胞增殖、促进血管内皮因子释放等[19,21]。ANE患者的血清IL-6水平与临床预后密切相关[22]。但是目前尚缺针对ANE患者脑脊液IL-6水平及其预测价值的研究。不过,在其他多种神经系统疾病(包括抗髓鞘少突胶质细胞糖蛋白抗体相关疾病、颅脑创伤等)中,升高的脑脊液IL-6水平被报道可能与疾病不良预后相关[23, 24]。本组患者中共有6例行脑脊液IL-6检测,结果均明显升高且升高程度与血清IL-6不平行,这进一步提示脑脊液IL-6水平在ANE的发病机制中可能存在重要意义,后续仍需更多研究探索其作用机制及其作为治疗靶点的价值。

免疫治疗(包括大剂量糖皮质激素或激素冲击、IVIG、血浆置换、IL-6单抗)是目前针对ANE的主要治疗手段,已在多个病例总结或回顾性队列中证实可改善患者预后[25, 26]。既往研究结果显示,在17例存在脑干病灶的ANE患儿中,早期糖皮质激素治疗与较好的预后相关[25]。在我们的临床实践中,建议对ANE患者在12~24 h内启动激素冲击治疗。此外,Koh等[26]报道3例早期应用IL-6单抗的ANE患儿实现了临床改善。另一项纳入27例ANE患者的多中心队列研究同样发现,糖皮质激素联合IL-6单抗可能进一步改善患者的临床预后,但遗憾的是结果差异并无统计学意义[15]。本研究中,共有3例患者接受了IL-6单抗治疗,其中2例好转,1例死亡(因合并较重肺部感染未加用糖皮质激素治疗)。综上所述,未来仍需更多研究进一步探索IL-6单抗在ANE治疗中的价值。

RANBP2基因突变已被证实与复发性或家族性ANE密切相关,研究证实其在核孔蛋白复合物形成、非特异性免疫反应及多种代谢通路中发挥作用,但在ANE发病过程中的具体作用机制仍待更多研究[27, 28]。本组中3例患者检出的RANBP2基因突变c.1754C>T,已在超过10例复发性或遗传性ANE病例中被报道过[2,29, 30, 31];1例检出的c.1966A>G,在此前仅有个案报道[2]。除去RANBP2基因突变之外,亦有其他研究结果提示某些基因可能与ANE易感性相关,如细胞肉毒碱棕榈酰转移酶Ⅱ(carnitine palmitoyltransferase Ⅱ,CPTⅡ[32, 33]、核糖核酸酶抑制因子1(ribonuclease inhibitor 1,RNH1[34],但其相关性尚需要进一步研究。未来更多大样本的基因相关研究有望发现更多与中国人易感ANE有关的热点基因突变。

综上所述,ANE是一种罕见且凶险的副感染性脑病,临床以感染后快速进展的脑病和双侧丘脑对称性病灶为主要特点,病初易漏诊、误诊,早期积极的免疫治疗对改善患者预后十分重要。未来仍需更多研究探索其发病机制及寻找更加有效的潜在治疗方案。

参考文献略


图片

图片

图片


发送
CCMTV神经病学频道
关注公众号及时获取最新资讯
扫一扫关注公众号